Несколько месяцев назад у меня появились хронические головные боли. Раньше я что-то подобное ощущал только наутро после изрядных возлияний. Жгучая и неотступная боль вонзала раскаленный стержень в мой череп, и время от времени пропускала через него электрический ток.
Когда боль стала окончательно нестерпимой, я решился на поход к неврологу. Я слышал о том, что такие симптомы появляются при опухоли в мозге. Поэтому строил весьма мрачные прогнозы.
После тщательного осмотра и допроса с пристрастием, доктор предложил свое объяснение происходящего со мной. Диагноз звучал странно, но ничего смертельного я в нем не разобрал: “невралгия затылочного нерва”.
Затылочные нервы выходят из верхней части спинного мозга и распространяются практически по всей поверхности черепа. Затылочная невралгия развивается при зажатии или повреждении затылочных нервов в их основании. Это и приводит к хронической, часто сильной, головной боли, преимущественно сосредоточенной в задней или боковой части головы. Боль может распространятся и на макушку, как это было у меня.
Но почему у меня развилась эта невралгия? Доктор молча показал на смартфон, который я неосознанно достал из кармана и мусолил в руке. “Вероятно, проблема в нем”. Еще невралгия затылочного нерва может развиться при неудачной позе сна, неправильно организованной работе с компьютером или ноутбуком, неудачной позе при чтении и письме. Все, что заставляет нас длительное время напрягать мышцы шеи, что и приводит к развитию заболевания.
Каждую свободную минуту я хватаю свой смартфон. И я сильно наклоняю шею вниз, всматриваясь в экран. Я оценил свою позу и понял, мышцы шеи действительно сильно напрягаются в это время.
По словам невролога, в последнее время к нему обращается очень много людей с подобными симптомами. И большинство из них довольно молодые.
В англоязычном журнале для врачей я нашел информацию, что наклон головы на 60 градусов при работе со смартфоном создает на позвоночник и окружающие его мышцы нагрузку пропорциональную 30 кг. Неудивительно, что от этого развиваются хронические боли:
Изображение из журнала Surgery Technology International
Если вы много читаете с экрана смартфона, то самой вероятной причиной невралгии затылочного нерва является именно эта привычка. В это время мышцы шеи сильно напрягаются и растягиваются. В итоге страдают нервы.
В результате появляются боли, должен вам сказать, иногда просто ужасные!
Как я избавился от симптомов невралгии затылочного нерва
Читаю я с экрана смартфона очень много. А еще иногда играю на нем, на много часов погружаясь в виртуальные миры. С играми я покончил быстро, но электронная почта и статьи являются важной частью моей работы.
Но на первых порах пришлось согласиться с уколами. Доктор прописал мне смесь стероидов и обезболивающих агентов. Укол делается в нервы у основания черепа, в результате чего затылок полностью немеет. Препараты распространяются по нервам и блокируют сигналы, вызывающие чувство головной боли.
В самих уколах не было ничего приятного. Но я ждал от них облегчения. Врач втыкал в мою голову шприц раз двадцать. В итоге я чуть не потерял сознание.
Уколы приносят временное облегчение. А чтобы дела пошли на поправку надо снизить нагрузку на верхнюю часть позвоночника. Врач порекомендовал мне пойти на массаж, заняться йогой и рассказал о нескольких приемах для снятия напряжения.
И, конечно, он запретил мне по долгу “зависать” в смартфоне, особенно, расположив экран ниже уровня лица. Как и большинство моих читателей, я нахожусь в сильной зависимости от гаджетов. Эта зависимость развивалась годами. При этом я не обращал внимание на реакцию своего тела. И зря.
Кажется, я нашел позу, которая решила проблему. Оказалось, что надо поднять руку со смартфоном повыше, так, чтобы шея оставалась ровной. Привыкнуть к новой позе было непросто, но эффект я почувствовал уже через неделю.
Надеюсь, я больше не попаду к врачу, отучающего пациентов от вредных привычек с помощью десятков уколов в голову. Хотя, даже такие пытки вряд ли заставят меня отказаться от смартфона. Я просто не представляю свою жизнь и работу без него.
Источник
Многие из нас засыпают в обнимку со своим iPhone. Листают перед сном ленту Instagram и кладут смартфон на прикроватную тумбочку. Чтобы утром неглядя отключить один из сработавших будильников.
И если зависимостью от социальных сетей Apple начала борьбу, то вот с привычкой класть смартфон рядом с подушкой компания вряд ли что-то сможет сделать. Между тем, эта привычка может стоить вашему организму очень дорого.
Рассказываем, почему во время сна нужно класть телефон подальше от головы.
Международное агентство по изучению рака предупреждает: мобилы могут быть опасны
Электромагнитное излучение радиочастотного диапазона, генерируемое смартфоном, человек не видит и не чувствует и именно поэтому не считает нужным предостерегаться от опасного воздействия этого излучения.
Тем не менее, системы сотовой связи и беспроводного интернета создают фоновое электромагнитное излучение, которое угнетающее действует на нервную и эндокринную систему человека.
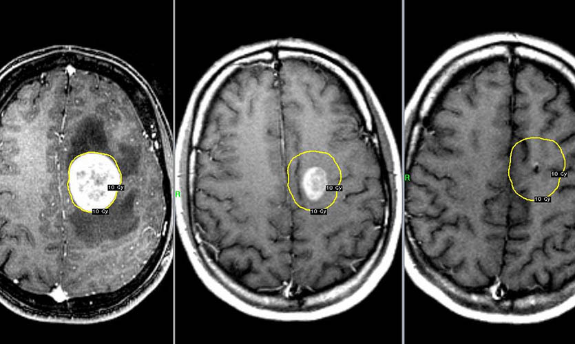
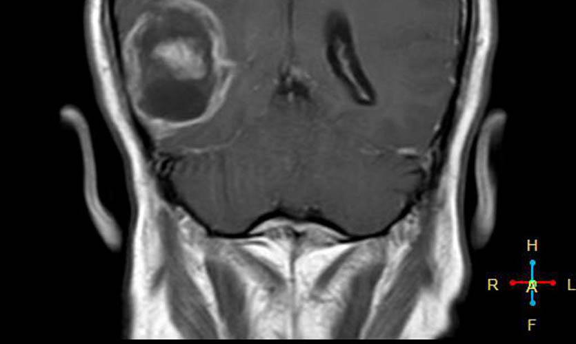
В Международном агентстве по изучению рака (IARC) учёные уже давно пришли к выводу, что использование мобильного телефона может увеличить риск развития некоторых видов опухолей головного мозга.
В огромном сборнике исследований приводятся факты того, что мобильные устройства не так безвредны, как об этом заявляют производители и лаборатории, выдающие сертификаты безопасности.
Так, в одном из трактатов были рассмотрены тенденции в показателях недавно диагностированных случаев рака мозга в Англии в период с 1998 по 2007 год. Общие показатели заболеваемости раком мозга у мужчин или женщин, или в какой-либо конкретной возрастной группе не были увеличены.
Но вот, частота опухолей височной доли увеличилась в период с 1998 по 2007 год. То есть во время широкого распространения мобильных телефонов среди населения.
Месторасположение смартфона возможно влияет на развитие болезней. Хм
Для анализа случаев заболевания использовался массив данных из семи европейских стран INTERPHONE (Дания, Финляндия, Германия, Италия, Норвегия, Швеция и юго-восточная Англия).
Было проведено исследование радиочастотных электромагнитных полей путём оценки общей кумулятивной дозы удельной энергии (TCSE) для каждого человека. Для каждого случая местоположение опухоли определяли нейрорадиологами, а центр опухоли оценивался компьютерным алгоритмом или непосредственно нейрорадиологом.
Для каждого случая средняя точка опухоли на трехмерной сетке определялась на основе радиологических изображений.
По итогам исследования выяснялось, что у пользователей мобильных телефонов наблюдалось повышение шансов появления злокачественных опухолей головного мозга и развития астроцитомы при использовании мобильных телефонов только с одной стороны головы.
Проще говоря, если ваш смартфон лежит ночью с правой стороны (по статистике именно так), то риск появления опухоли возрастает именно справа.
В Японии учёные изучили серию случаев акустической невромы, диагностированных в период между 2000 и 2006 годами. В целом, не было избыточного риска акустической невромы среди всех пользователей мобильных телефонов.
Однако среди некоторых подгрупп, а именно тех, которые имеют наивысшую продолжительность ежедневных звонков, были оценены отношения высокого риска.
Другими словами, чем чаще вы разговариваете по мобильному телефону, тем больше шансов у вас попасть в зону риска.
Кто-то, возможно просто врёт. Но это не точно
Прямых угрожающих доказательств в материале не приводится. Казалось бы, можно расходиться. Но!
Но любопытным моментом является тот факт, что возглавлял рабочую группу по изучения воздействия электромагнитным радиочастотам некий Андерс Ахлбом (Anders Ahlbom).
Старший преподаватель Каролинского института в Швеции Андерс Ахлбом с 1990-х являлся телекоммуникационным лоббистом. Он активно участвовал в установлении противоречивых стандартов ICNIRP по радиации из разных источников, таких как беспроводные устройства и сотовые башни.
В течение нескольких лет Aндерс отмечал, что сотовые телефоны вряд ли приведут к опухолям. Во множестве интервью, он заявлял – «У нас нет оснований полагать, что такие риски будут». Тем самым он стал любимчиком в промышленности и правительстве, которые стремятся успокоить тревожную публику.
Другой шведский ученый Леннарт Харделл (Lennart Hardell) открыто вступал в конфронтацию с Андерсом. Он связывал заявления об отсутствии риска для здоровья с прямой связью Андерса и телекоммуникационных компаний.
Его также поддержала журналистка Мона Ниссон. В своем докладе она приводила прямые доказательства связи Андерса с заинтересованными компаниями.
Ложь была раскрыта. Новые требования ученых
В 2017 году Агентство общественного здравоохранения Швеции (Folkhälsomyndigheten) опубликовало отчёт, в котором был раздел о рисках для здоровья ЭМП, написанный Андерсом Альбом и Марией Фейхтинг.
В этом докладе грубо фальсифицируются имеющиеся научные данные. Согласно документу, за последние 15 лет их заявления и отчёты неизменно были предвзятыми в отношении интереса к телекоммуникациям, ИТ и электроэнергетике.
В 2018 году 236 независимых учёных подписали обращение с просьбой рассмотреть устаревшие стандарты ICNIRP, которые недостаточны для защиты здоровья человека. Среди подписавшихся были также 5 российских учёных.
Их независимое заключение резко контрастирует с докладом Андерса Альбома и Марии Фейчинг.
«Многочисленные недавние научные публикации показали, что ЭМП влияет на живые организмы на уровнях, значительно превышающих большинство международных и национальных руководящих принципов.
Эффекты включают повышенный риск рака, клеточный стресс, увеличение вредных свободных радикалов, генетические повреждения, структурные и функциональные изменения репродуктивной системы, дефицит обучения и памяти, неврологические расстройства и негативное воздействие на общее самочувствие у людей.
».
В общем, не стоит доверять спорным исследованиям семилетней давности, авторами которых были не чистые на руку люди. Очевидно, что телекоммуникационный рынок скроет любые негативные отчёты, лишь бы не пугать своих покупателей. Чего бы рынку это не стоило.
Поэтому выход один – будьте внимательны, берегите здоровье и кладите телефон подальше от подушки. Это хотя бы немного, но защитит от дополнительного риска проснуться в один прекрасный день с опухолью в голове.
???? Хочешь больше? Подпишись на наш Telegramнаш Telegram.
… и не забывай читать наш Facebook и Twitter
????
iPhones.ru
Нас обманывают. Делайте выводы.
Юрий Андреев
@a1phadog
Люблю Apple, рассказываю о гаджетах, кино и полезных вещах из мира IT.
Источник
Без сотовой связи не обходится ни один житель нашей страны. Теперь люди могут разговаривать друг с другом, независимо от их места нахождения. Но, часто случается, что болит голова от телефона. Это объясняется воздействием электромагнитного поля на организм.
Опасность телефона
Мобильный телефон – это источник электромагнитного поля. При работе устройства наблюдается негативное влияние на головной мозг. На фоне воздействия электромагнитного поля наблюдается возникновение разнообразных осложнений:
- Повышается реактивность организма. В соответствии с проведенными исследованиями было установлено, что если человек более часа ежедневно разговаривает по телефону, то это приводит к истеричности, раздражительности и нервному перенапряжению.
- Нарушается качество сна. Если разговаривать по телефону перед сном, то это приведет к ухудшению качества сна. В дневное время у пациента может болеть голова.
- Развиваются опухолевые процессы в головном мозге. Ткани органа поглощают волны телефона, что приводит к увеличению риска развития новообразований.
- После разговора по телефону в области уха наблюдается появление зуда, покалывания и дискомфорта. Громкий звук негативно сказывается на работоспособности внутреннего уха, что приводит к возникновению головной боли. При воздействии волн на слуховой нерв, что приводит к развитию акустической невритомы, при которой диагностируется головная боль. При заболевании пациенты жалуются на головокружение, шум в ухе и уменьшение качества слуха.
- Если на орган слуха влияют резкие и пронзительные слухи, то это приводит к воспалительному процессу в слуховом нерве. Оно является акустической травмой, которая появляется при длительных разговорах по телефону и проявляется головной болью. Пациенты жалуются на возникновение звона, шума и болезненности в ухе.
Разговоры по телефону приводят к развитию серьезных осложнений, которые негативно отображаются на качестве жизни пациента.
Правила безопасного использования телефона
Во избежание развития осложнений людям рекомендуется правильно пользоваться сотовым телефоном:
- Максимально безопасным разговор по мобильному телефону будет на улице. В таких условиях волны не задерживаются, что снижает возможность негативного влияния на организм человека.
- В период разговора категорически запрещено плотно прижимать к уху телефон. Трубка должна находиться на определенном расстоянии от ушной раковины, что обеспечит нормальный режим работы внутренней антенны и снижение негативного влияния на организм.
- Категорически запрещаются разговоры по телефону в положении лежа. Трубка не должна размещаться в горизонтальном положении, так как передающее и принимающее устройство будут неправильно работать, что приведет к усилению негативного влияния.
- От прослушивания гудков и музыки в трубке рекомендовано отказаться. Начинать разговор следует после того, как собеседник взял трубку.
- Если у пациента протекает эпилепсия, невроз, психопатические расстройства, то общение по телефону должно сводиться к минимуму. Детям, пожилым людям и женщинам в период беременности не рекомендуется долго общаться по мобильному.
- Использование мобильного телефона одновременно с другими источниками электромагнитных волн, к которым относятся бытовые приборы, запрещается. Это объясняется значительным усилением нагрузки.
- Удерживать телефон рекомендовано за нижнюю часть корпуса. Блокировать поверхность ладонью не рекомендовано, так как это приводит к снижению качества передачи сигнала. Аппарат работает максимально мощно, что становится причиной излучения.
- При разговорах по телефону рекомендовано делать перерыв на 15 минут.
- Если наблюдается низкое качество приема сигнала, то это приводит к увеличению излучения устройства.
Мобильным телефоном издаются электромагнитные волны, которые негативно сказываются на работе и состояния головного мозга. У пациентов диагностируется возникновение головной боли при частом использовании аппарата. Во избежание развития симптома человеку рекомендовано использование сотового телефона в соответствии с определенными правилами.
https://youtube.com/watch?v=oycxFUOqINs
Источник
Это касается далеко не всех, но у некоторых пользователей современных смартфонов начинает болеть голова во время их ежедневной эксплуатации. Большая часть подобных жалоб поступает от владельцев флагманов, в которых установлены дисплеи, выполненные по технологии OLED. Эксперты считают, что всё дело в низкой частоте мерцания экранов при пониженной яркости за счёт широтно-импульсной модуляции (ШИМ). Явление это далеко не новое, но из-за бума органических светодиодов в мобильных устройствах сегодня его обсуждают особенно активно. Вопрос точно имеет место.
В теории глобальным решением этой проблемы может стать относительно новая технология DC Dimming. Но новая она только для OLED-экранов — аналогичный принцип давно использовали в том же IPS. Про неё, а также непосредственно про ШИМ мы и расскажем в этом материале.
Что собой представляет ШИМ и как она влияет на здоровье
Если верить статистике, в среднем каждый из нас берёт в руки смартфон и активирует его экран около 90 раз в день, а также использует его в сумме больше 3 часов. Тем не менее, лично я более чем уверен, что реальные значения для многих куда выше — особенно для тех, кто связан с новыми технологиями по работе. Лично я только листаю новости каждое утро не меньше полутора часов и ещё час трачу на их прочтение на протяжении дня. Если прибавить сюда мессенджеры, социальные сети и другие активности, итоговое время получится в разы больше.
Учитывая наше настолько тесное общение с мобильными устройствами, качество их экранов должно быть как можно более высоким. Многие из нас уверены, что необходимый уровень нам предоставят дисплеи, которые выполнены по прогрессивной технологии OLED с максимально глубоким чёрным цветом, рекордными яркостью, разрешением и числом точек на каждый квадратный дюйм. Тем не менее, большинство из них ведёт себя достойно только на максимальной яркости. А вот при её уменьшении всё становится не так гладко.
Дело в том, что при понижении яркости подсветки экрана зачастую снижается и частота его мерцания. В данном случае в дело вступает технология широтно-импульсной модуляции, которую чаще всего сокращённо называют просто ШИМ. Опустим сложные нюансы и расскажем о базовых принципах её работы.
Абсолютно все цифровые сигналы могут иметь два логических уровня, которые можно условно назвать «включено» и «выключено», единицей и нулём, а также активным и неактивным напряжением. Если есть желание получить какое-то среднее значение, как у аналоговых сигналов, то приходится использовать модуляцию. Речь о периодическом включении и выключении сигнала, что создаёт ощущение работы не на полную мощность. Например, если нужна подсветка на 40%, то 40% времени она будет включена, а 60% — выключена. Так как подача и отключение напряжения происходит с большой частотой, человеческий мозг усредняет данные значения и действительно создаётся ощущение, что используется некий средний уровень яркости. Но далеко не каждый воспринимает это безболезненно. У многих действительно начинаются головные боли, «вываливаются» глаза, появляется дискомфорт использования гаджета.
Чем выше частота этого самого мерцания, тем проще она воспринимается. Это прекрасно понимают производители современных смартфонов, но далеко не все они хотят тратить дополнительные средства, чтобы достичь необходимых значений. Таковы реалии современного рынка.
Рейтинг популярных смартфонов по уровню мерцания
В теории, для того, чтобы ШИМ был незаметен для глаз, его частота при яркости от 0 до 99% должна превышать хотя бы 200–250 Гц. Когда используется яркость 100%, ни о какой модуляции не может быть даже речи, поэтому именно его можно считать максимально безопасным для использования. Если частота меньше, голова вместе с глазами начинают болеть у многих. Если частота выше 500 Гц, негативных последствий обычно нет. Тем не менее, есть те, на кого плохо действуют даже значения в 10 кГц. Таким пользователям лучше отказаться от использования OLED-экранов и заранее проверять мерцание в IPS.
Некоторые смартфоны вообще не используют ШИМ, но их экраны всё равно мерцают из-за некачественного экранирования адаптеров питания. Модуляция обычно касается только экранов OLED, у IPS её практически нет. Дальше короткая выдержка из огромного списка замеров мерцания от NotebookCheck.
Apple
- iPhone 11 Pro Max — 245,1 Гц;
- iPhone 11 Pro — 290,7 Гц;
- iPhone 11 — 0;
- iPhone XS Max — 240 Гц;
- iPhone XS — 240,4 Гц;
- iPhone XR — 0;
- iPhone X — 240 Гц;
- iPhone 8 Plus — 0;
- iPhone 8 — 0.
Samsung
- Galaxy Fold — 240,4 Гц;
- Galaxy Note 10+ — 250 Гц;
- Galaxy Note 10 — 236 Гц;
- Galaxy S10+ — 235,8 Гц;
- Galaxy S10 — 240,4 Гц;
- Galaxy S10e — 232 Гц;
- Galaxy Note 9 — 227 Гц;
- Galaxy S9+ — 215,5 Гц;
- Galaxy S9 — 240,4 Гц.
Huawei
- Huawei P30 Pro — 231,5 Гц;
- Huawei P30 — 240,4 Гц;
- Huawei Mate 20 Pro — 245,1 Гц;
- Huawei Mate 20 — 0;
- Huawei P20 Pro — 238,1 Гц;
- Huawei P20 — 0;
- Huawei Mate 10 Pro — 247,5 Гц;
- Huawei Mate 10 — 0;
- Huawei P10 — 0.
Xiaomi
- Xiaomi Mi 9T Pro — 223 Гц;
- Xiaomi Mi 9T — 245,1 Гц;
- Xiaomi Mi 9 — 245,1 Гц;
- Xiaomi Mi 9 SE — 255 Гц;
- Xiaomi Mi Mix 3 — 240,4 Гц;
- Xiaomi Black Shark 2 — 242,7 Гц;
- Xiaomi Mi Mix 2 — 0;
- Xiaomi Mi 8 — 238 Гц;
- Xiaomi Mi Mix — 0.
OnePlus
- OnePlus 7 Pro — 122 Гц;
- OnePlus 7 — 200 Гц;
- OnePlus 6T — 240 Гц;
- OnePlus 6 — 236 Гц;
- OnePlus 5T — 242,7 Гц;
- OnePlus 5 — 250 Гц;
- OnePlus X — 237 Гц;
- OnePlus 3T — 244 Гц;
- OnePlus 3 — 243,9 Гц.
Нулями в этом списке отмечены устройства, экраны которых демонстрируют настолько низкий уровень мерцания, что им можно пренебречь. В остальном, чем выше значения, тем лучше. Результаты остальных устройств можно найти в полном перечне замеров вот по этой ссылке.
Спасаться от мерцания предлагают технологией DC Dimming
Если говорить о сегодняшней реальности, толковых заменителей для ШИМ в современных смартфонах банально нет. Компоненты для аналоговой регулировки яркости экранов просто не поместятся в компактные корпуса мобильных устройств, а ещё они потребляют слишком много заряда аккумулятора.
Вместе с тем, в пресс-релизах некоторых производителей всё чаще встречается указание DC Dimming. Технология вроде как должна стать реальным спасением от ШИМ, значительно уменьшить влияние на глаза и голову в целом. Некоторые уже даже называют её самой настоящей панацеей. Но на практике в этой технологии нет ничего сверхъестественного. Более того, в IPS-экранах она используется с незапамятных времён. Вместе с ней мерцание всё-таки будет ощущаться, но только на самой маленькой яркости. Опустим сложные нюансы и расскажем о базовых принципах её работы.
Суть DC Dimming заключается в контроле уровня напряжения, которое подаётся на отдельные пиксели в экране. Чем оно ниже, тем меньше яркость. Этот простой принцип даёт возможность IPS-экранам практически не мерцать. Тем не менее, с OLED не всё настолько просто. Если менять напряжение, на пикселях в таких экранах, они начинают искажать цвета. Эксперты часто говорят, что их цветопередача начинает банально «плыть», поэтому использовать такие гаджеты становится ещё менее комфортно, чем в случае с ШИМ.
Из-за очевидных недостатков DC Dimming в случае OLED сегодня его используют только в качестве эксперимента. Например, эта технология есть в относительно свежих Android-смартфонах OnePlus 7 Pro и Xiaomi Black Shark 2. Первому она не пошла на пользу из-за некачественного экранирования, а второй демонстрирует средние для OLED показатели на всем промежутке по яркости от 0 до 99%. Прорыва не случилось, но вот цвета на экранах стали менее насыщенными при прямом сравнении с устройствами, которые используют ШИМ. Хорошо, что отклик экрана при этом остаётся в порядке.
Словом, в будущем от DC Dimming действительно может быть практическая польза, но сегодня ничего сверхъестественного добиться от этой технологии у производителей не получается. Будем наблюдать за её развитием и постараемся не пропустить её прорыв.
Что делать, чтобы не ощущать влияние технологии ШИМ
Во-первых, учтите, что реакция на ШИМ проявляется далеко не у всех. Например, я вообще не ощутил присутствие технологии за целый год, когда пользовался iPhone XS Max. Мой пример показателен, потому что проводил вместе со смартфоном действительно очень много времени: читал новости каждый день, смотрел видео на YouTube и фильмы в дороге, играл и так далее. При этом яркость далеко не всегда была выставлена на 100%, поэтому экран мерцал, и на меня это теоретически влияло. Голова болела скорее от обилия информации, которую я пытался уместить в ней каждый день.
Это я к тому, что не нужно себя накручивать. Почему-то по поводу ШИМ ещё год назад никто вообще не говорил, а сегодня СМИ пытаются раздуть эту проблему буквально до небес. Объяснение простое — чем больше хайпа вокруг темы, тем больше просмотров. Математика достаточно примитивная.
Во-вторых, чтобы не беспокоиться про ШИМ, выбирайте смартфоны, которые используют IPS-экраны. Обычно они ещё и стоят дешевле, поэтому явный профит налицо. В этом случае можно, как вариант, сравнить iPhone 11 и его старших братьев с приставкой Pro. У первого — IPS и нет ШИМ, пара последних — с OLED и среднестатистическим ШИМ до 300 Гц. На него вряд ли будут массово жаловаться, но теоретическая вероятность всё же есть. Вот с Samsung сложнее. Поправьте меня, но почти все современные смартфоны компании уже с OLED, ведь она — главный производитель таких матриц во всём мире.
Если хотите OLED, смотрите в таблицу, расположенную выше. Чем больше частота модуляции в Гц, тем лучше. Для большинства будет достаточно 200-250 Гц, и у флагманов в этом плане всё более-менее нормально. А вот середнячки чаще до OLED ещё не доросли, поэтому и у них всё в норме.
В-третьих, если у вас смартфон с OLED-экраном, старайтесь использовать его максимальную яркость. Чтобы это было комфортно, позаботьтесь об адекватном внешнем освещении. Когда находитесь на улице днём, в этом почти никогда нет проблем. А вот ночью всё становится хуже, поэтому лучше не «втыкать» в экран слишком долго. Дома же куда лучше для головы смотреть на гаджет при максимальной яркости, когда вокруг светло. Я к тому, что читать на минималках под одеялом — самая плохая затея из всех, которые можно придумать. Помните, что ШИМ проявляется даже на яркости 99%.
В-четвёртых, когда знаешь про ШИМ, повсеместное внедрение тёмных тем во всех операционных системах уже не кажется настолько плохой идеей. В вечернее время смартфоны с ними можно спокойно использовать даже в том случае, если яркость на максимуме. Что-то мне подсказывает, что все настолько активно взялись за них именно из-за хайпа по поводу проблемы с широтно-импульсной модуляцией. Это особенно касается компании Apple, которой не нужны проблемы вокруг её смартфонов, ведь за их косяками охотятся абсолютно все IT-журналисты. Хорошо хоть, это не взрывающиеся аккумуляторы…
В-пятых, если вы активно читаете книги, лучше выбирайте для этого специализированные устройства, которые используют экраны на электронных чернилах. Мне же в последнее время больше по душе бумажные издания в твёрдом переплёте, из которых можно собрать небольшую домашнюю библиотеку.
В итоге, ШИМ — это действительно проблема, но не настолько массовая, какой её рисуют. Теперь вы знаете про неё всё самое основное, а главное — как с ней бороться. Когда DC Dimming доработают или придумают другое решение, про вопрос вообще забудем. А сейчас его можно обсудить в комментариях.
Источник






